欢迎您进入BuGuHealth官方网站,联系我们

2016年国家医疗服务与质量安全报告(康复医学专业)
布骨医疗 ,2020-04-19
康复医学是现代医学科学的重要组成部分。它以研究解决功能障碍为核心,以各种疾病、损伤导致的躯体、心理功能障碍者为服务对象,以提高伤、病、残人士的生存质量和重返社会为宗旨。康复医学顺应了经济发展和社会进步的需求,是医学科学发展的必然趋势。美国的康复医学居世界领先地位,欧洲和日本依靠医疗科技的应用与发展,.....
医疗质量管理《2016年国家医疗服务与质量安全报告》
布骨医疗 ,2020-04-19
医疗质量指在现有医疗技术水平及医疗资源条件下,医疗机构及其医务人员在临床诊断及治疗过程中,按照职业道德及诊疗规范的要求,给予患者医疗照顾的程度。具体说,医疗质量就是医疗服务过程、诊疗技术效果以及诊疗期间生活服务满足患者预期康复标准的程度,主要包括诊断是否正确、及时、全面,治疗是否及时、有效、彻底,诊.....
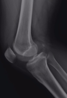
肌肉骨骼系统读片基础
布骨学院 ,2020-02-24
X线的应用价值与限度骨骼组织密度较高,与周围软组织具有良好的对比度,而其本身的骨皮质、骨松质和骨髓腔之间亦有足够的对比度,因此X线片具有较高的空间分辨率和一定的密度分辨率,至今仍是骨骼疾病的重要和首选检查方法。X线片可发现疾病,显示疾病范围、程度,并结合相关临床表现和实验室检查,对特征性的外伤、感染.....
建议老年人住院,减少久坐时间,保持活动能力
by Scott Buxton ,2020-02-19
巴西的一组研究人员进行了一项RCT调查,研究是否可以通过向老年人提供有关住院风险及其对身体能力影响的书面和口头建议来增加他们的身体活动。书面信息以图文并举的小册子的形式提供,并在20分钟的会议中进行了教育。小册子被放在抽屉里,以确保对理疗师保密。他们把这个和你想象的普通护理做了比较。.....
作为一个康复治疗师,你必须知道的五种心理治疗方法!
BuGucollege ,2019-12-19
康复医学是在四、五十年代才萌芽的一门新学科。经过几十年的发展完善,康复医学在临床医学预防医学,保健医学的基础上形成了一门新兴的学科。.....
挪威Redcord悬吊Neurac医疗培训课程—西安
BuGucollege ,2018-12-19
专门为治疗肌肉骨骼肌肉机能障碍的治疗师、医生以及康复专业认识提供的培训课程 这个培训课程是基于多年研究、创新发展和临床实践提炼而成 Neurac神经肌肉激活疗法是由医生、治疗师以及遍及全球的研究人员和临床工作者合作研发形成的 .....
布骨学院Vasyli Medical足踝治疗认证课程初阶(特邀台湾资深讲师)-西安站
BuGuCollege ,2019-07-04
足踝引起的问题是临床生物力学十分常见的议题,物理治疗师对于足部之诊断与治疗往往面临比上肢更大的挑战。Vasyli Medical近年来也主办了多次足踝认证课程,学员在接受了先进的下肢生物力学理念的同时,往往感叹实际操作和知识转换中存在困难,课程听的很不错,实际应用困难重重。.....
2019年陕西省康复医学会运动损伤康复专业委员会学术交流会
BuGuCollege ,2019-04-11
运动医学是医学与体育运动相结合的一门多学科交叉综合性临床应用科学,通过研究与体育运动有关的医学问题,运用最新医学知识对体育运动参与者进行医学指导、评估、损伤治疗,以达快速康复的目的,国家定位为二级学科。运动医学的研究领域涵盖了骨科、康复医学、心血管、内分泌、神经、药学、营养、力学、生理学、心理学、遗.....
骨科(运动)康复最新评定技术培训課程
BuGucollege ,2019-02-19
面向社区,全国规模化发展,取得卫计委颁发的《医疗机构执业许可》,并在全国屈指可数,与线上品牌“布骨医生”打造线上线下互通模式,为患者提供“全心、全艺、全程医疗服务。只要是骨健康问题,在这里轻松解决! .....