首页 > 信息显示
布骨医学科普:劳累后足底疼痛,要当心是不是扁平足?
布骨医学科普

什么是扁平足呢?

 

要了解扁平足,首先要了解什么是足弓(arch of the foot)。足弓并不是单一平面的结构,它是由内侧纵弓、外侧纵弓以及横弓三个不同平面的弓形组成,三个弓形结构协同工作,互相配合,以使脚支撑站立重量并吸收冲击,储存和释放能量,并适应活动期间的移动负荷。根据内侧纵弓的高度可将人足分为三类,正常足弓,低足弓以及高足弓,其中低足弓即为扁平足(flatfoot




图一:足弓的组成 红色:内侧纵弓

 

绿色:外侧纵弓;蓝色:横弓




图二:a:正常足弓;b:低足弓; c:高足弓


扁平足是一种与足弓塌陷、足跟外翻和前足外展有关的畸形,该疾病可以分为先天性和获得性扁平足。新生儿在出生时足弓仍未发育,随着年龄的增长,足弓逐渐发育,于8-10岁成形,部分儿童足弓未能正常发育,即为先天性扁平足。正常的足弓结构需要骨骼和软组织共同维持,当这些结构结构损伤或异常,则可能发生成人获得性扁平足。例如胫后肌腱是足内侧纵弓的重要稳定结构,当它收紧时能够使距下关节翻转从而锁住跗横关节,防止足弓塌陷,维持足弓的正常形态。当胫后肌腱发生退行性变、胫后肌腱功能受损,无法维持正常的足弓高度则会发生扁平足。此外,创伤后畸形,骨关节炎,类风湿关节炎,神经源性关节病等也可能导致扁平足。




成人扁平足在世界范围内发病率在5%~25%,老年女性、超重、长期负重站立、过度疲劳人群是受扁平足困扰的主要人群。大多数扁平足患者仅表现为无症状的足弓下降,无明显特殊症状。部分患者表现为后足内侧疼痛,当进行长距离跑步、远距离徒步时症状加重,较为严重的患者还可能伴有足部僵硬,活动度下降等症状。此外部分脊柱、髋关节、膝关节疼痛不适也可能与扁平足有关。


如何知道自己是否是扁平足呢?

 

足印法是辨别扁平足简单方法,具体操作是在地上铺两张白纸,用少量水打湿双脚,然后分别站立在两张白纸上,抬起后查看被打湿白纸的面积。足印的内侧面积可参考下图,比较足弓偏高或偏低。




图三:从左至右足印依次为:正常足弓、扁平足、高足弓


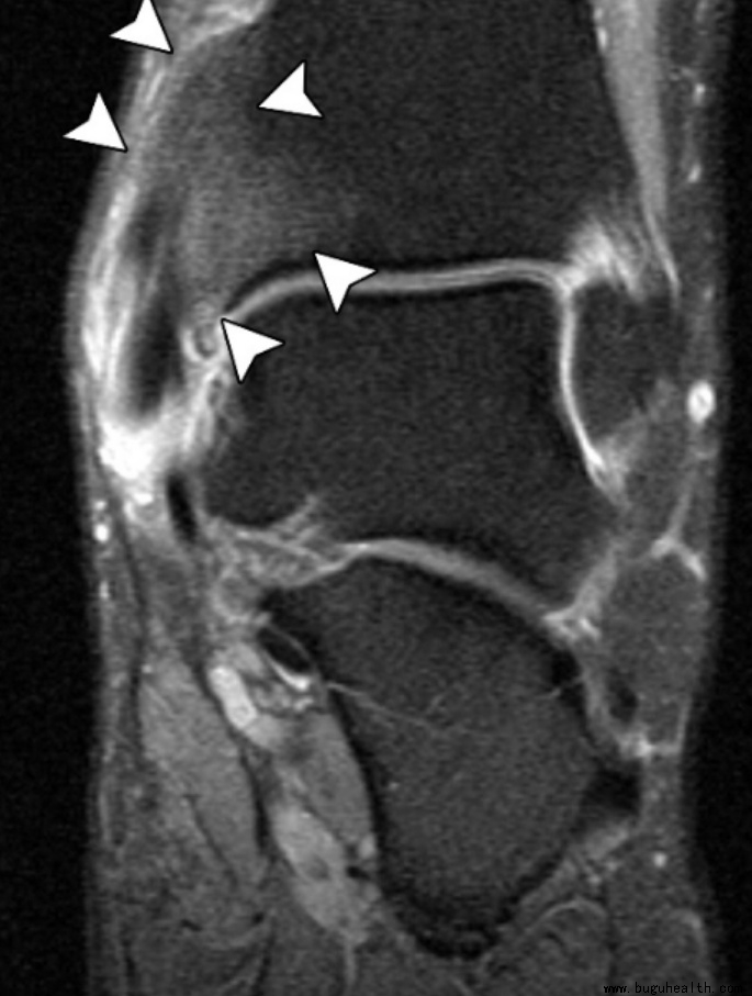
在医院医生常用的影像学检查为负重足部X线检查来评估足弓扁平、后足外翻和前足外展的情况,利用超声或MR来评估肌腱(胫骨后肌腱)和韧带病变(弹簧韧带和骨间韧带)情况。三维CT重建可以分析骨骼和关节形态,评估骨关节炎情况,并有助于制定截骨手术方案。




负重足部X线(侧位)提示足弓扁平




冠状位MR图像显示踝部(箭头)的骨肥大和骨髓水肿、胫后肌腱增厚伴撕裂


扁平足该如何治疗呢?

 

通常儿童青少年扁平足无需特殊治疗,无症状的成年人扁平足一般也不需要特殊治疗,但是当出现症状、对日常生活运动产生影响时则需要一定的干预。有研究表明在有症状的扁平足患者中,非手术治疗对87.5%的病例有效,例如通过康复锻炼保持关节活动性,加强足弓周围肌肉力量,尽可能恢复足弓结构及功能;通过消炎镇痛药物缓解足弓疼痛的症状;通过足部康复锻炼和佩戴足部矫形器来恢复足弓结构的生物力学功能。




常见的康复动作有:上翘脚趾 脚底贴紧地面,脚趾上翘,体会足弓拱起的感受




脚趾抓物用脚趾抓毛巾、硬币、小球等物体



提踵训练详情可见提踵训练

 

手术治疗具有进行性症状或并发症的严重扁平足患者,可以采用手术治疗以改善足部的结构和功能并防止畸形的进展。常见的手术方式包括趾长屈肌腱 (FDL)转移术、跟骨截骨术、关节固定术等,具体手术方式需要根据每位患者的情况来确定,还请有需要患者及时到医院找医生面诊。

 

如何预防扁平足?

 

1. 穿带有足弓支撑的鞋子

2. 避免长时间负重站立

3. 使用矫形鞋垫

4. 控制体重


布骨医疗专注于运动医学与肌骨康复。对于脊柱侧弯筛查与矫正(脊柱侧弯支具定制),骨科术前术后康复,运动康复,肌骨疼痛(颈肩腰腿痛),足踝康复(矫形鞋垫定制)都有很好治疗方案。

西安布骨康复中心

—END—


推荐阅读

*布骨康复医疗中心的物理治疗师在物理治疗技术方面经验丰富


布骨康复医疗中心物理治疗师均为物理治疗相关专业本科以上学历,均获得卫健委医疗资格认证,合法行医。More...

他们在许多领域都有专业知识,包括骨科术前术后康复,下肢力学及足踝康复、矫形鞋垫技术、产后恢复,脊柱侧弯矫正,肌骨疼痛、运动医学、手法治疗、矫形学和个人体能训练等方面具备较好的实践经验。More



招聘进行中 More…

---------------------------------------------------------------------------------------------------------------------------------

点击查看布骨康复医疗中心治疗项目都有哪些?


我中心开展骨科、运动医学科、妇产科、康复医学科、中医科,主要治疗项目为物理治疗为:骨科术前术后康复,下肢力学及足踝康复、矫形鞋垫、产后恢复,脊柱侧弯矫正,肌骨疼痛、运动损伤等项目,详情点击。More



上海总部:上海市太阳山路188弄
西安公司&诊所:西安市曲江新区慈恩东路398号温德姆至尊公寓酒店B1层 / 电话:029-81206120