欢迎您进入BuGuHealth官方网站,联系我们

布骨医学科普:脊柱侧弯佩戴支具要穿几年?答案就在这里
作者:布骨康复医疗中心   时间:2021-07-26   浏览:3380 次

       康复中心,脊柱侧弯,肌骨康复

穿戴支具后每个患儿的心态都不同,有些人乐观面对,积极配合支具师,取得好的效果。支具不是负担,它只是孩子们康复路上的一个工具而已。


脊柱侧弯矫正


然而,一个硬邦邦的支具戴在身上,大多数孩子是抗拒的,家长也很想知道,支具到底要穿戴几年?事实上,支具穿戴多久,因人而异。穿戴支具,一是为了矫正,二是为了降低进展的风险。所以,当侧弯矫正好 ,可以开始脱支具;侧弯没有恢复,则要穿戴至骨骼发育好。


1.穿戴至矫正好


当弯曲的脊柱变直,进展的风险变小,这时可以尝试减少穿戴时间,最后完全脱支。以下患儿,7岁发现侧弯15度,穿戴支具半年,因矫正效果好,开始脱支。脱支具33个月后,脊柱仍然保持竖直。所以,早发现早干预,效果更好,脱支也早,整个治疗周期短。


脊柱侧弯


以下患儿,10岁发现侧弯,穿戴支具2.5年,脱支具48小时后拍片,脊柱保持竖直。开始减少穿戴时间,为脱支具做准备。


布骨康复医疗中心


2.穿戴至骨骼发育结束


对于脊柱侧弯患儿,在青春发育期,侧弯进展风险很大(椎体凸侧生长快于凹侧),如果在支具治疗过程中,脊柱有10度以上的残存度数,脱支具的时间往往要推后至骨骼生长结束。这样,才能将侧弯进展风险降到最低。


布骨康复医疗中心


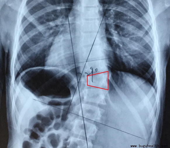
以下患儿,虽然已经穿戴支具3年,但因骨骼生长没有闭合,且仍然有残存度数,所以,需要继续穿戴。


脊柱侧弯


总之,侧弯进展风险小可以考虑脱支,进展风险大就要继续穿戴。需要注意的是,支具干预越早越好,不是干预早支具就要穿戴得久,越早干预,支具治疗过程往往越短。


             康复中心,脊柱侧弯,肌骨康复

END

你肯定想不到,膝盖疼居然是髋关节的问题

深蹲解析—如何完成一个标准的深蹲动作-2

深蹲解析—如何完成一个标准的深蹲动作-1

腹直肌是什么?你会产后腹直肌分离自测吗?