欢迎您进入BuGuHealth官方网站,联系我们

在这次东京奥运会的赛场上,张雨霏出战 6 个项目,最终收获 2 金 2 银,同时还收获了一项接力世界纪录和个人奥运会纪录。
正是为了这沉甸甸的「15公斤」,张雨霏在背后付出了太多太多。

当天赋异禀遭遇现实打击
2020东京奥运会
出生在游泳世家的张雨霏,3岁起就跟随父母下水训练,很快便展现出了令人艳羡的天赋。
2015年时,张雨霏发现自己身体有处「bug」。她说:“我的主项是蝶泳,特别要求身体的平衡,但游着游着,我就察觉出不对劲了。然后去看了医生,做了身体检查,结果被告知应该是「先天带点脊柱侧弯」。”

要知道,先天性脊柱侧弯的人后背两侧的肌肉高低不均,这对于平衡性要求极高的蝶泳来说,是一个极大的难题。当时她的教练说:“人的正常侧身是S型,而她是直的,做波浪运动就特别困难,尤其是对于蝶泳选手。”
正是这一切才让张雨霏在东京「破茧成蝶」!
正所谓:千淘万漉虽辛苦,吹尽狂沙始到金。张雨霏被冠以「新一代蝶后」称号当之无愧。

前国家游泳队总教练陈云鹏说:“身体素质、技术优化、力量耐力储备、优秀教练和钢铁般的意志品质是张雨霏成功的关键,这也是她可以走得更远、更久的原因。”
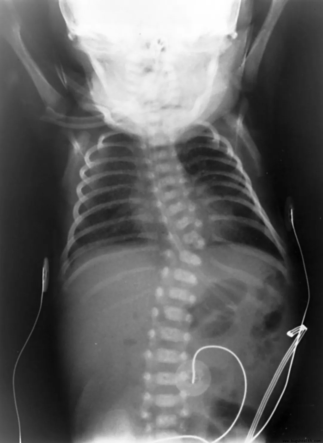
什么是先天性脊柱侧弯
经常关注我们的同学想必对「脊柱侧弯」并不陌生。
而「先天性脊柱侧弯」是婴儿出生时脊柱的侧弯,在三种主要脊柱侧弯类型中,先天性脊柱侧弯是最不常见的,约万分之一的新生儿受影响。
先天性脊柱侧弯发生在婴儿出生前,椎骨还没有正常形成时。这种类型的脊柱侧弯的严重程度从轻微到危及生命不等。由于脊柱和其他器官系统在怀孕前几周同时形成,因此,许多先天性脊柱侧弯的儿童也有膀胱、肾脏或神经系统问题。

虽然先天性脊柱侧弯在出生时就存在,但它可能并不明显,通常会随着孩子的成长而恶化。
先天性脊柱侧弯的症状及原因
先天性脊柱侧弯发生在怀孕早期,脊柱中的一个或多个椎骨还没有完全形成时,这可能会导致脊柱形成一个被称为「半椎体」的锐角。在其他婴儿中,正在发育的脊椎并没有完全分离成不同的椎骨。

因此,两个或更多的椎骨可能会部分融合,对于一些先天性脊柱侧弯的儿童,脊柱畸形是由这些问题的综合因素引起的。
由于先天性脊柱侧弯是在妊娠8到12周时脊柱发育异常的结果,医生可能会要求进行超声波或超声心动图检查,以确定是否其他系统同时发育受到影响,这些可能包括泌尿系统、生殖系统或心脏系统。

对于治疗的选择,将取决于他们的年龄和脊柱弯曲的严重程度。一些弯曲较小的儿童会被监测,以观察他们的脊柱是否随着他们的成长而变得更弯曲。如果随着时间的推移曲线仍然很小,则可能不需要进一步治疗。而当先天性脊柱侧弯严重到需要治疗时,通常需要手术。
除此之外,脊柱侧弯还可以通过康复训练得到改善,如果再配合筋膜手法,可让训练变得更加高效。

END