欢迎您进入BuGuHealth官方网站,联系我们
正常成年人脊柱全长约70厘米,从正面看人的脊椎似乎是笔直的,但事实上如果从侧面(矢状面)观察自上而下可以看到颈曲、胸曲、腰曲、骶曲4个生理性的弯曲,也就是所谓的脊柱的生理曲度。

这个曲度是作为唯一直立行走的哺乳动物——人类所特有的结构。生理曲度的存在使得脊柱如同一个大弹簧,有效地增加了缓冲震荡的能力,加强了姿势的稳定性。
脊柱的4个曲度:颈曲、腰曲凸向前方,胸曲、骶曲凸向后方。
这些弯曲又是如何形成的呢?
胎儿在母亲体内呈蜷缩状态,就在此时胸曲和骶曲就已逐渐形成。随后在机体功能逐渐发育和完善的过程中,约是婴儿3个月逐渐学会抬头时,颈曲慢慢形成。而当婴儿8、9个月开始爬行时,腹部的重量下坠,腰曲逐渐产生。

您可以想象一下爬行的婴儿,头抬着逐渐形成颈曲,肚子下坠着腰部塌下去形成腰曲。
由此见之,人体脊柱的4个生理曲度中,颈曲和腰曲均是在人类后天发育过程中,为适应人体功能进步而逐渐出现的结构改变,它们的存在就脊椎本身而言是一种后天的变化,随个体年龄的增长、功能的衰退,结构稳定性会降低,故相较于胸椎和骶椎更容易再次发生改变,而产生相应的脊柱相关疾病。
我们常常听到医生说你的颈椎变直了!你这是腰骶角过大!那么它判定标准在哪里呢?
所谓生理曲度说的是脊柱矢状位上的曲线,那么测量时最多被选择作为观察的就是脊柱侧位片。这里就脊柱的四个曲度测量介绍几种简便快捷的测量方法。
颈椎:Borden氏测量法,即自枢椎齿突后上缘到C7椎体后下缘画一直线,使椎体后缘与连线成一相应的自然弧,C5椎体后上缘为弧的顶点,弧最大垂直深度为(12±5)mm;当此数值 > 17mm 为曲度增大,< 7mm 为变直,< 0mm 为反弓。

胸椎:正常的胸椎曲度主要由T1~T12胸椎形成,并以T6~T7椎体作为顶点,另外通过T2椎体上缘和T11椎体下缘分别做一切线,形成一夹角,正常范围是20°~50°。胸曲大于50°也就是胸曲过大,也就是临床见到的“驼背”情况。这其中主要出现2种类型的曲度改变,一种为胸段后凸,另一种则为胸腰段后凸。胸段后凸较为常见,常涉及T2~T12节段,顶椎常位于T6~T8节段。胸腰段后凸相对较少,常涉及T5~L4节段,顶椎常位于胸腰交界区附近。

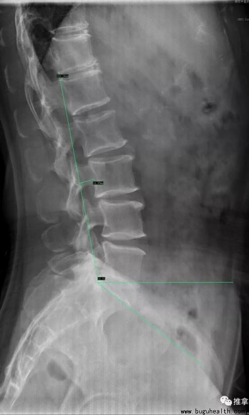
腰椎:Seze 法,即在 Χ 线侧位片上自T12椎体后下角至 S1后上角做一连线,腰椎各椎体后缘的弧形连线与此线形成一弓,弓顶点正常在 L3,弓顶点与弦垂线距离正常为18~22mm,大于22mm则为腰曲过大。
骶椎在人类发育过程中会相互融合,形成一个坚固的骶骨,组成骨盆的后壁,故而主要通过对腰骶角的观察测量来分析骶骨的位置关系。

腰骶角:Ferguson测量法,即在Χ线侧位片上以骶骨上缘的切线与水平线做一夹角,即为腰骶角,研究表明正常值约为33.7°~49.1°,也就是如果腰骶角大于49.1°就可以说是腰骶角过大。
对于脊柱侧弯患者有专门的测量方法:Cobb角。

我们也可以用Cobb角的测量方法来测量脊柱矢状面的生理角度。
以胸椎为例:
第一步:确定要测量部位的端椎。上、下端椎就是指胸椎倾斜度最大的椎体,由于胸椎的生理曲度是向后凸的,通常上端椎是向前倾斜度最大,下端椎是向后倾斜度最大。
第二步:在上端椎的椎体上缘划一横线,同样在下端椎椎体的下缘划一横线。对此两横线各做一垂直线。
第三步:那么测量这两条直线的夹角就是 Cobb 角。
最后:依照正常脊柱侧生理曲度角度(颈椎30°-35°、胸椎20°-50°、腰椎40°-50°)来判断出被测量者的生理曲度是否正常:

如果你的孩子有脊柱侧弯的情况,并且影响到了生活,建议寻求物理治疗师帮助,也可以到BuGuRMC进行就诊,让您的孩子更快的恢复到正常生活!
[1]张玉婷,王翔,詹红生.颈椎曲度的测量方法及其临床意义[J].中国骨伤,2014,27(12):1062-1064.
[2]李开南,汪学军,张进军,何志勇,母建松,兰海,郑江.胸腰椎生理曲度的测量及临床意义[J].重庆医学,2011,40(22):2258-2261.
[3]基础动力学.第八章:脊柱的结构及功能

END