欢迎您进入BuGuHealth官方网站,联系我们

布骨医学科普:个案研究:HIRT用于膝关节炎干预的效果
作者:布骨康复医疗中心   时间:2022-02-17   浏览:2085 次

康复中心,脊柱侧弯,肌骨康复

骨关节炎是一种以关节内软骨及其下层骨退化和骨过度生长为特征的疾病,是致残的重要原因之一,并且这种情况被认为是不可逆的。女性比男性发病率高。关节疼痛、僵硬、灵活性缺失、刺痛、肿胀和压痛是骨关节炎的常见症状,通常进展缓慢,甚至持续数年,导致老年人残疾程度增加。体力活动已被证实是减轻疼痛、改善骨骼功能、保持关节适当活动范围和柔韧性的手段,如有氧和水上训练、柔韧性练习、平衡和本体感觉训练,以及力量训练。高强度抗阻训练(HIRT)是治疗膝关节骨性关节炎(KOA)的一种方法。考虑到老年人的力量水平通常较低,因此在高强度训练时一般建议使用低负荷,但高负荷杠铃举与膝关节骨性关节炎预防和康复方案的适应性仍然未知。


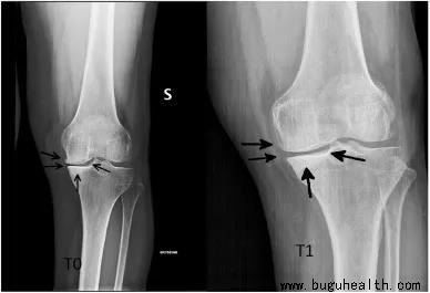
为此,意大利比萨大学的 Andrea Malorgio 在《运动医学与健康科学(英文)》(SMHS)中发表了一项个案研究,以探讨其联系。作者招募了一名 72 岁的患有 KOA 的女性,为其进行康复训练和医学检查。2016年11月的第一次 RX 拍片显示内侧关节应力大,并伴有半月板疼痛和骨的改变(图1)。


布骨康复医疗中心

图1 左图像基线RX,2016年11月;右图像对照RX,2018年8月


患者自我报告日常生活中的疼痛感受,测得其关节炎指数(Western Ontario and McMaster Universities, WOMAC)评分为43%。作者在初始训练计划(中等强度的蹬自行车练习、关节活动度训练、感觉运动控制练习、4周的下肢等长力量训练和开链动作训练)之后,给患者增加了一个抗阻训练方案,内容包括连续8周的重量递增的硬拉。2017年2月,患者进行了常规举重训练,以掌握正确的技术动作。之后进行12个月的波动性周期训练(55%~65%1RM和70%~90%1RM强度)。2018年2月,这位女运动员在一场100 kg的举重比赛中打破了她在意大利四级大师赛上的记录(图2)。2018年8月,患者进行第二次RX检查,以评估膝关节对这种高阻力训练的反应,同时还做了新的WOMAC问卷调查。


布骨康复医疗中心

图2 左侧:患者进行常规的无动力硬拉杠铃的2个阶段;右侧:患者在比赛中举起100kg


研究结果显示,高强度杠铃举训练能使KOA患者关节形态重塑优化,功能性负荷分布增大,关节间隙变窄(JSN)速度下降甚至逆转,骨质疏松减少,不适症状改善及生活质量提高,WOMAC骨关节炎指数下降了34%,最终得分为9%。


这项研究有一定的优势和局限性。优势体现在所使用的高负荷和长时间的竞技性训练,没有出现任何运动损伤或负面情况。但局限是,作者只分析了单个患者,而且训练过程需要专家监督和指导,试验重复难度大。


当前研究表明,在老年人高强度、高负荷的KOA常规治疗中,自由重量训练(如高强度杠铃力量训练)可以骨关节疾病得到改善。

原文文献:

Andrea Malorgio, Marta Malorgio, Matteo Benedetti, Simone Casarosa, Roberto Cannataro. High intensity resistance training as intervention method to knee osteoarthritis[J]. Sports Medicine and Health Science, 2021, 3(1): 46-48. https://doi.org/10.1016/j.smhs.2021.02.005.


康复中心,脊柱侧弯,肌骨康复

—END—


推荐阅读

*布骨康复医疗中心的物理治疗师在物理治疗技术方面经验丰富


布骨康复医疗中心物理治疗师均为物理治疗相关专业本科以上学历,均获得卫健委医疗资格认证,合法行医。More...

他们在许多领域都有专业知识,包括骨科术前术后康复,下肢力学及足踝康复、矫形鞋垫技术、产后恢复,脊柱侧弯矫正,肌骨疼痛、运动医学、手法治疗、矫形学和个人体能训练等方面具备较好的实践经验。More



招聘进行中 More…

---------------------------------------------------------------------------------------------------------------------------------

点击查看布骨康复医疗中心治疗项目都有哪些?

我中心开展骨科、运动医学科、妇产科、康复医学科、中医科,主要治疗项目为物理治疗为:骨科术前术后康复,下肢力学及足踝康复、矫形鞋垫、产后恢复,脊柱侧弯矫正,肌骨疼痛、运动损伤等项目,详情点击。More