欢迎您进入BuGuHealth官方网站,联系我们

1 半月板有什么作用?
半月板是膝关节之间的一块纤维软骨,是膝盖里面的两个衬垫(内外侧各一个)。因为是半月形的,所以叫半月板。在膝关节内测的称为内侧半月板,呈C型;在膝关节外侧的叫做外侧半月板,呈O型。那么膝关节的两个衬垫的主要作用是什么呢?
①增加关节的稳定性和匹配性
②缓冲震荡,减少软骨之间的摩擦
③增加软骨面之间的接触面积

对于年轻人,半月板损伤主要是因为各类运动导致的急性损伤,尤其是需要负重(比如举重)或急跑急停转弯的运动(足球、篮球、格斗等)。对于岁数大的人,半月板损伤,多是一种慢性的退行性改变。急性半月板损伤后,患者可能出现膝关节的肿胀、疼痛,并且活动受限。急性期过后,膝关节一般仍有疼痛,甚至出现弹响、卡住动不了等感觉。

2 哪些可以保守治疗,哪些需要手术?
简单说:半月板损伤,不严重的可以保守,严重的就必须手术了。那么,到底怎么算不严重,怎么算严重呢?这就需要知道半月板的损伤程度分级了。
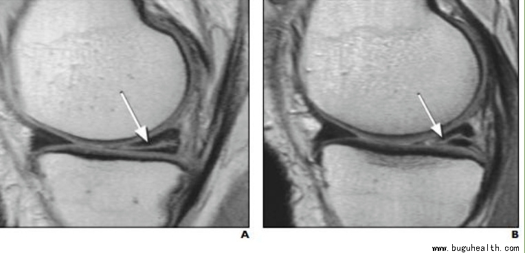
根据磁共振上,半月板的异常表现不同,我们将半月板损伤分为1-3级。其中:
1级损伤:是指半月板最轻微的病变,只是“垫子”里面出了一点点小问题,垫子外观看还是完全正常的,表面都很光滑没受损。
2级损伤:是指半月板中度的病变,损伤范围比1级要大,但是损伤都在内部,没有累及到半月板表面,没有通关节,半月板的表面依旧是光滑完整的。
3级损伤:是半月板较为严重的损伤,指半月板的撕裂样损伤,已经累及到表面,半月板表面不光滑了撕开了。

1级和2级的半月板损伤,都是首选保守治疗(休息、理疗、服药、关节内注射),不用手术;而3级半月板损伤,尤其是年轻人的急性损伤,一般都需要手术,而且需要尽快手术。
3 没有(及时)手术,有什么问题?
3级的半月板损伤,有点类似手指头上起了倒刺。一开始倒刺只是翘起来一点,如果这个时候及时的把倒刺修剪掉,就完事儿了。如果不管它,随着磨擦挤压,倒刺很可能会越撕越大,不仅会让损伤加重,疼痛加重,后面也需要减掉更多的皮。半月板也是一个道理。3级损伤,就是撕裂的裂口一直通到半月板表面了,半月板表面不平整。这个时候及时做关节镜手术,把撕裂口休整下,就好了。
如果不及时手术,那么随着我们走路跑跳,半月板会被大腿和小腿骨头反复的挤压磨擦。磨擦磨擦,不一定有魔鬼的步伐,但是一定会把半月板的撕裂口磨擦的更大,让半月板的损伤更为严重。很可能使得原本还可以缝合的半月板只能部分切除了,或原本只用切一点点的最后必须切一大部分了。
大多数半月板损伤的朋友都是年轻人,你们的需求不光是恢复正常生活,还想能够继续运动,即使是中老年朋友,也希望能拥有更高的生活质量。最后呢,希望这篇文章能让朋友们对半月板损伤的了解再多一些,同时回归生活与运动的信心再强一些,能通过训练逐渐康复,不再受半月板损伤的困扰,逐步回归到生活,回归到自己热爱的运动。布骨医疗专注于运动医学与肌骨康复。对于脊柱侧弯筛查与矫正(脊柱侧弯支具定制),骨科术前术后康复,运动康复,肌骨疼痛(颈肩腰腿痛),足踝康复(矫形鞋垫定制)都有很好治疗方案。

—END—
推荐阅读
布骨康复医疗中心物理治疗师均为物理治疗相关专业本科以上学历,均获得卫健委医疗资格认证,合法行医。More...
他们在许多领域都有专业知识,包括骨科术前术后康复,下肢力学及足踝康复、矫形鞋垫技术、产后恢复,脊柱侧弯矫正,肌骨疼痛、运动医学、手法治疗、矫形学和个人体能训练等方面具备较好的实践经验。More…
---------------------------------------------------------------------------------------------------------------------------------
我中心开展骨科、运动医学科、妇产科、康复医学科、中医科,主要治疗项目为物理治疗为:骨科术前术后康复,下肢力学及足踝康复、矫形鞋垫、产后恢复,脊柱侧弯矫正,肌骨疼痛、运动损伤等项目,详情点击。More…