欢迎您进入BuGuHealth官方网站,联系我们
坐车太快,徒步太慢,所以有人偏爱骑行刚刚好的速度与自由。“骑行热”持续升温,骑行是快乐的,是自由的,但是也架不住会有人磕碰、摔伤、骨折......

骑行的尽头也是骨科?骨折了一定要做手术吗?

别紧张,手术对人体来讲也是一种创伤,在疾病的早期,应尽量正确利用保守治疗的时机!不同部位的损伤与骑行方式以及摔倒的姿势有着密切的关系。
骑行常见骨折:
1. 肱骨近端骨折
属于肩部骨折,是肱骨大结节、小结节和肱骨外科颈等部位发生的骨折的统称,症状表现为肩部疼痛, 肩关节和上臂出现明显的肿胀,活动受限。如此时自身还能活动,可自行到就近的医院骨科就诊;如无法活动,可寻求周围人帮助或拨打120。

85%采取保守治疗!临床上85%的肱骨近端骨折患者都会采取保守治疗,保守治疗通常包括止痛、手法复位、一定时间的悬吊固定及物理疗法等。
具体适用于:
√ 单纯大结节,分离<1cm或骨折移位<5mm一般认为可以保守治疗。
√单纯外科颈骨折,成角小于 45°,骨折移位小于 1 cm。
保守治疗方案包括肩关节支具制动,适当的康复治疗和物理治疗。
何时可以进行康复训练?
保守治疗:固定以后可以做一些伸屈指、掌、腕关节的活动,患肢做主动的肌肉收缩活动。伤后2~4周根据骨折的具体类型,在医生的指导下增加肩肘关节的活动。
术后:1、经手术坚强固定的骨折:通常术后即可开始在康复医生的指导下做功能锻炼;
2、粉碎性骨折等多部分骨折复杂骨折:术后3-4周内进行最大保护下的适当功能锻炼,之后根据复查情况逐步增加功能锻炼;

2. 尺骨鹰嘴骨折
属于肘部的骨折!尺骨鹰嘴骨折即是胳膊肘后方凸起处的骨折!症状表现为肘关节局部肿胀、剧烈疼痛,有时断端可触及骨折缝隙,伴随患肢活动障碍。

未移位或可复位则采取保守治疗:若骨折未发生移位,或移位经手法复位可以恢复解剖结构或者功能复位,则可以采取保守治疗;
何时可以进行康复训练?
保守治疗:若患者骨折程度较轻,关节结构较为稳定,4周左右骨折部位会形成骨痂,关节功能得到一定程度的恢复,可以开始进行康复训练。
术后:6周后可以做康复训练。通常两周后可以轻度活动,早期活动度逐步增加,以不疼痛或轻微疼痛为宜。

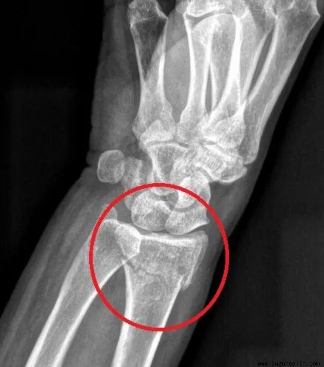
3. 桡骨远端骨折
属于手腕部的一种骨折!桡骨远端骨折是指距桡骨下端关节面3cm以内的骨折!跌倒手撑地时拇指那一侧会发生移位,严重的骨折会造成正中神经的卡压,从而引起手部肿胀、疼痛、皮下淤血。

未移位或者未涉及关节表面可保守治疗。如果桡骨远端骨折段的骨块保持对齐,没有明显的移位或错位,通常可以通过外部固定(如石膏固定或支具等外固定装置)来稳定,促使骨折部位愈合。
如果桡骨远端骨折没有涉及到关节表面,即关节面未受损,那么保守治疗的可能性也比较大。
何时可以进行康复训练?
保守治疗:在固定稳定的前提下,尽可能开展功能训练,一般石膏固定6周,期间可以活动指间关节,同时必须锻炼肩肘关节,拆除石膏后,可恢复腕关节的屈伸和旋转训练。
手术治疗:早期可开展活动和物理治疗,6-8周恢复良好可进行抗力训练,完全性功能恢复需要12-18周。
4. 髌骨骨折
属于膝盖骨折,髌骨是膝关节的重要组成部分,髌骨骨折后常发生膝关节肿胀积血,髌前可见皮肤擦伤及皮下血肿,压痛明显,有移位的骨折可触及骨折间隙。

未移位骨折或移位不太明显可保守治疗
保守治疗主要是指:
①固定,石膏或支具固定根据医生的建议时间复诊,如果最终稳定,可佩戴石膏或支具直到伤后4~6周拆除石膏,直到骨痂更可靠。
②积极康复训练,包括膝盖的主动及被动活动,以及渐进式恢复运动强度,避免髌骨顽固粘连。
何时可以进行康复训练?
保守治疗:
髌骨骨折移位不明显,关节面比较平整,绝大部分采用石膏或支具固定来维持位置,这种情况一般需要固定四周左右,然后进行适当的康复训练。
手术治疗:
较为简单的骨折,术后1-2周就可以进行膝关节适度屈伸活动锻炼;
如果骨折非常严重,比如粉碎性骨折等需要根据手术固定方式选择康复治疗方法,可能需要2-4周的休息和关节活动的限制,期间需要在康复医生的指导下进行维持临近关节活动度和肌力的训练。
所有的康复训练都需要活动量、活动范围由小到大,逐渐加强训练量,慢慢地使关节功能得到恢复。
好的康复的效果不亚于一台好的手术,有经验的优秀康复师可以帮助快速恢复身体功能,减轻疼痛,需康复师进行康复训练可提前和我们进行预约。

—END—
推荐阅读
布骨康复医疗中心物理治疗师均为物理治疗相关专业本科以上学历,均获得卫健委医疗资格认证,合法行医。More...
他们在许多领域都有专业知识,包括骨科术前术后康复,下肢力学及足踝康复、矫形鞋垫技术、产后恢复,脊柱侧弯矫正,肌骨疼痛、运动医学、手法治疗、矫形学和个人体能训练等方面具备较好的实践经验。More…